Đánh giá sự ổn định tính kháng virus của các dòng thuốc lá chuyển gen mang cấu trúc RNAi TMV và RNAi TCYS ở thế hệ T1
Nghiên cứu trên đối tượng sinh đôi cho thấy béo phì có thể làm giảm chức năng của ty thể như thế nào
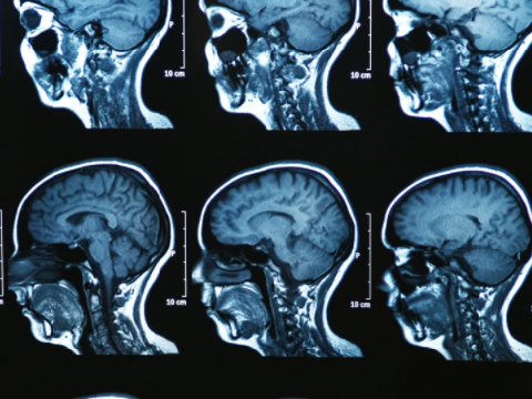
AI xác định ba dạng phụ của bệnh đa xơ cứng trong quét não MRI
Xét nghiệm máu phát hiện bệnh trầm cảm & rối loạn lưỡng cực
Khỉ đột có thể sử dụng âm thanh đập ngực để chỉ ra kích thước cơ thể của chúng
Phân lập và sàng lọc xạ khuẩn từ đất có tiềm năng sản xuất kháng sinh
Thuốc uống thử nghiệm tự động giải phóng insulin khi mức đường huyết cao
KX.01/16-20: Một số kết quả và định hướng nghiên cứu giai đoạn 2021- 2025
Chương trình 592: Góp phần hình thành doanh nghiệp KH&CN và nâng cao hiệu quả hoạt động của tổ chức KH&CN công lập
Ứng dụng năng lượng nguyên tử vì mục đích hòa bình: Dấu ấn ở nhiều lĩnh vực
Hoạt động quản lý nhà nước về TCĐLCL giai đoạn 2016-2020: Bức tranh nhiều điểm sáng
Các chấm carbon làm từ sợi tóc giúp tăng độ ổn định của pin mặt trời perovskite
Ứng dụng truy quét nguồn rác nhựa ô nhiễm
Điện cực nhôm 3D cho phép tạo ra pin giá rẻ
Thiết bị quang hợp nhân tạo cải thiện hiệu quả của chính nó theo thời gian
"Keo não" hỗ trợ tái tạo tế bào thần kinh sau chấn thương
Nghiên cứu phân lập và tuyển chọn các chủng vi sinh vật phân giải phế phụ phẩm chè đốn làm phân bón hữu cơ vi sinh
Hóa thạch "vàng” ở loài bọ ba thùy cho thấy chúng thở bằng chân
Đom đóm có thể sử dụng "áo giáp âm" để chống lại loài dơi
Cảm biến dưới da sử dụng các mảnh vàng để hiển thị nồng độ thuốc trong máu
Phân lập, tuyển chọn chủng vi khuẩn Bacillus bản địa có khả năng phân giải chất hữu cơ trong nước thải làng nghề chế biến tinh bột dong riềng
Các tiểu cầu trong máu biến đổi kết hợp nhiệt và liệu pháp miễn dịch để tiêu diệt ung thư
Trước
1
[2]
3
4
5
6
7
8
9
10
Tiếp