Ảnh hưởng của phân hữu cơ với chế phẩm TRICHODERMA và PSEUDOMONAS đến sinh trưởng, phát triển và năng suất lạc trên đất xám bạc màu tại tỉnh Thừa Thiên – Huế
Trung Quốc tăng cường thử nghiệm tác dụng chống Covid-19 của vitamin C
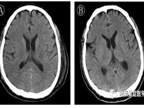
Tìm thấy bằng chứng đầu tiên về việc virus corona tấn công hệ thần kinh trung ương
Thuốc trừ sâu có thể gây tăng trưởng não bất thường ở loài ong
Chưa tìm thấy căn cứ cho việc sử dụng omega-3 sẽ làm giảm nguy cơ ung thư
DNA và protein được tìm thấy trong hóa thạch khủng long
Đánh giá tính gây bệnh của nấm Corynespora cassiicola phân lập từ cây cao su ở Việt Nam bằng phương pháp lây bệnh trên lá cắt rời
Cảnh báo xâm nhập mặn bằng hệ thống quan trắc tự động
Bước đầu nghiên cứu thành phần hóa học và tác dụng kháng viêm in vitro của lá khế (Averrhoa carambola L.)
Hoạt tính chống oxy hóa và bảo vệ gan của cao chiết lá gáo trắng (Neolamarckia cadamba (Roxb.) Bosser)
Thiết kế hệ thống quan trắc nông nghiệp thời gian thực dựa trên nền tảng IoT
Giải pháp IoT để giám sát, điều khiển hệ thống chiếu sángcông cộng đô thị sử dụng công nghệ led trên cơ sở công nghệ LoRa
Khảo sát và định tên vi khuẩn Lactobacillus sp. có đặc tính probiotic từ một số thực phẩm lên men truyền thống
Nghiên cứu nuôi cá kèo (Pseudapocryptes elongatus) trong bể với các mật độ khác nhau theo công nghệ biofloc
So sánh và đánh giá các phương pháp ly trích DNA trong các sản phẩm có nguồn gốc từ hạt ca cao
Nhân giống cây tràm (Melaleuca cajuputi Powell) bằng phương pháp nuôi cấy mô
Đa dạng di truyền của các mẫu giống đậu tương dựa trên các hình thái, chỉ thị phân tử SSR và hàm lượng protein
Nâng cao giá trị gia tăng sản phẩm muối nhờ ứng dụng KH&CN và liên kết sản xuất
Bắc Giang: KH&CN góp phần tạo nên các vùng chuyên canh hàng hóa
Hàng triệu gia cầm giống được chuyển giao vào sản xuất từ các kết quả nghiên cứu
Thúc đẩy vườn ươm khởi nghiệp trong trường đại học
Kinh tế chia sẻ: Thực trạng và giải pháp
Trước
1
[2]
3
4
5
6
7
8
9
10
Tiếp