Sử dụng vỏ hành tây khô làm thành phần của thực phẩm
Brazil đưa ra chương trình thu hút nhà khoa học
Phát hiện khối thiên thạch ở Trung Quốc
Vi khuẩn dưới đất làm tăng tốc độ nóng lên toàn cầu
Chế tạo thảm tự phân hủy giá phải chăng
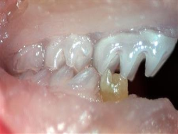
Tạo răng từ tế bào gốc
Trừ sâu không độc hại
Ảnh vũ trụ: Siêu bão trên sao Thổ
Cùng ngắm "siêu phẩm" VAIO Z
Chạy đua vũ trang trong... một giọt nước
Chế tạo lớp phủ kháng khuẩn vĩnh cửu
Muối có thể kích thích tế bào não tạo cảm giác gây nghiện
Uống cà phê không giúp gia tăng tư duy sáng tạo
Hình ảnh về "cái chết" của một sao chổi
Các phương pháp phòng chống sét
Cây họ cam có tác dụng chống lão hóa
Từ 16 – 24/7/2011 sẽ diễn ra hội nghị quốc tế về công viên địa chất
Cận cảnh bộ đôi máy tính bảng Sony S1 và S2
Ô tô bay đầu tiên trên thế giới chính thức đi vào sử dụng
Các di sản thiên nhiên mới trên thế giới
"Con quay tự quay lâu nhất thế giới"
Ngắm “hành tinh thu nhỏ” qua ống kính nhiếp ảnh gia
Trước
1
[2]
3
4
5
6
7
8
9
10
Tiếp