Kháng cáo sử dụng thuốc chống rối loạn tâm thần ở bệnh nhân suy giảm chức năng gan
Ăn nhiều cá và thịt gà thay thịt đỏ có thể giảm nguy cơ tử vong sớm?
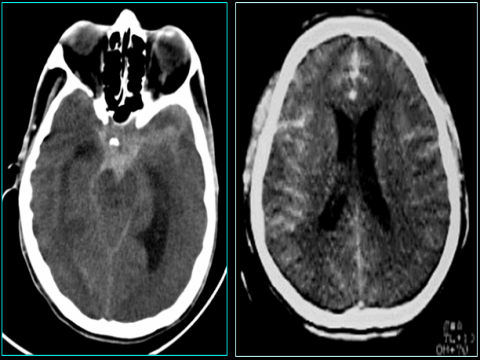
Kết quả bước đầu can thiệp nội mạch điều trị phình mạch não vỡ tại Bệnh viện Trường Đại học Y Dược Cần Thơ
Ảnh hưởng của một số yếu tố công nghệ tới quá trình thu nhận hỗn hợp axit béo omega-3 và omega-6 từ dầu hạt tía tô
Cảnh báo nguy hiểm: Tắc đường làm tăng nguy cơ mắc bệnh mất trí nhớ và trầm cảm
Sử dụng xỉ thép và phụ gia siêu dẻo thế hệ mới thiết kế
Nghiên cứu các điều kiện thủy phân phụ phẩm cá hồi (Salmo salar) nhằm thu nhận peptit mạch ngắn có hoạt tính chống ô xi hóa
Thử nghiệm lâm sàng thuốc tế bào điều trị ung thư: Bước tiến lớn trong y học
Ô nhiễm tiếng ồn làm tăng nguy cơ vô sinh ở nam giới
Virus dưới đáy đại dương chứa enzym có thể trị bệnh viêm phổi
Phương pháp tiêm máu có thể đảo ngược quá trình lão hóa
Mối liên quan giữa dị ứng thực phẩm, bệnh chàm và vi khuẩn
Tổng hợp và thử tác dụng ức chế tế bào ung thư của một số dẫn chất (E)-3-(4-((3-benzamidophenoxy) methyl)phenyl)-N-hydroxypropenamid
Ăn nấm đều đặn có thể làm giảm 50% nguy cơ suy giảm nhận thức
Bệnh sởi có thể xóa trí nhớ miễn dịch của cơ thể
Các em bé chỉnh sửa gene có thể bị giảm tuổi thọ
Nghiên cứu xây dựng mô hình QSAR nhị phân và Pharmacophore trên các chất ức chế cytochrom P450 3A4
Tình hình bệnh viêm ruột do parvovirus trên chó tại các phòng mạch thú y tỉnh Tiền Giang, Đồng Tháp và thành phố Cần Thơ
Nghiên cứu QSAR và mô hình docking trên các chất làm bền cấu trúc G-quadruplex
Phân tích kết quả giám sát nồng độ ciclosporin và độc tính thận trên bệnh nhân ghép tế bào gốc đồng loài tại Viện Huyết học - Truyền máu Trung ương
Cổng thông tin giáo dục cộng đồng dựa ontology
Khảo sát thành phần hóa học và hoạt tính chống oxy hóa in vitro của các cao chiết từ lá tía tô thu hái tại các địa điểm khác nhau
Trước
1
[2]
3
4
5
6
7
8
9
10
Tiếp