Thiết bị lọc nước sạch chỉ sau ít phút
Hệ thống khai thác năng lượng từ bộ phận chống xóc trên xe
Ngăn sẹo bỏng với tia lửa điện
Súng diệt cây sống ký sinh trên cây trồng
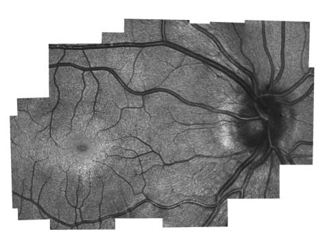
Thiết bị cầm tay chụp ảnh võng mạc với độ phân giải cao
"Rút" bánh pizza từ trụ ATM
Chiếc áo giúp các phi hành gia định hướng trong không gian
Nghiên cứu mới cho thấy thuốc kháng sinh làm suy yếu hệ miễn dịch
Sơn tàu thân thiện môi trường chống sự bám dính của hàu lên thân thuyền
Quartz là công nghệ chai đựng nước, có khả năng tự làm sạch bằng tia UV.
Thiết bị khai thác điện từ chuyển động tự nhiên
Lớp phủ kỵ nước giúp kháng xà phòng
Backpacker Repeller - Công cụ chống muỗi khi đi dã ngoại
AirCast - công cụ gia cố xương bằng không khí
Băng dán y tế không gây đau, giúp theo dõi quá trình hoạt động của thuốc trong máu
Blincam - công cụ giúp chụp hình với một lần nháy mắt
Kính cửa sổ năng lượng mặt trời, sáng tối theo ý muốn
Amazon phát triển máy bay không người lái tự hủy
Sitpack ZEN chiếc ghế di động tiện dụng
Xương in 3D hỗ trợ điều trị khiếm thính
Máy giặt tiết kiệm nước, giặt sạch quần áo nhẹ nhàng
Miếng dán y tế làm từ tế bào sống chữa lành tổn thương tim
Trước
1
[2]
3
4
5
6
7
8
9
10
Tiếp