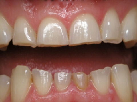
Nhận xét thực trạng mòn răng và nhạy cảm ngà trên nhóm sinh viên chuyên sâu bơi Trường Đại học Thể dục Thể thao Từ Sơn – Bắc Ninh năm 2013
Dùng thuốc chữa ở nóng có thể làm tăng nguy cơ tử vong
Con người bị viêm khớp vì …đột biến gen thời tiền sử
Hành vi lạ lùng: ăn thịt các loài chim nhỏ xuất hiện ở bọ ngựa
Cá đực ‘chuyển giới" vì xả thải của con người
Kiến thức, thực hành trong điều trị ARV của bệnh nhân HIV/AIDS và một số hoạt động hỗ trợ của cộng đồng tại Trung tâm Y tế huyện Từ Liêm, Hà Nội
Đánh giá các yếu tố nguy cơ ở bệnh nhân phẫu thuật tim mở bệnh van hai lá theo thang điểm EuroSCORE II
Đánh giá vai trò của các yếu tố nguy cơ liên quan biến chứng sau phẫu thuật cắt gan ung thư
Phân tích các biến cố bất lợi trên chuyển hóa của bệnh nhân tâm thần phân liệt được điều trị bằng olanzapin
Nghiên cứu đặc điểm lâm sàng, cận lâm sàng của xuất huyết tiêu hóa do giãn vỡ tĩnh mạch thực quản ở bệnh nhân xơ gan có nghiện rượu và không ngiện rượu
Kinh nguyệt không làm gián đoạn hoạt động của não
Chỉ cần tiếp xúc với nước biển: các công trình bê tông La Mã cổ đại sẽ bền vững với thời gian
Phụ nữ mang thai ăn nhiều chất béo làm tăng nguy cơ ung thư vú ở con cháu
Đừng 'dán' mắt vào smartphone khi đi bộ
Khoa học phát hiện chính người đối diện khiến bạn thay đổi giọng nói
Nghiên cứu tận dụng rác thải nhựa gia công bê tông làm vật liệu xây dựng
Sự thay đổi tính chất hóa lý của quả thanh trà theo độ tuổi thu hoạch
Hiệu quả sử dụng dung dịch glucose 30% giúp giảm đau cho trẻ trong khi làm thủ thuật tại khoa điều trị tự nguyện bệnh viện nhi Trung ương
Dị ứng thực phẩm có liên quan đến lo lắng ở trẻ em
Đi bộ chậm lại là dấu hiệu của chứng mất trí nhớ
Nếu có loại thuốc này, bạn sẽ học đàn và ngoại ngữ nhanh như... thần đồng
Đánh giá sự biến đổi của một số chỉ tiêu đông cầm máu ở bệnh nhân sốt xuất huyết dengue theo mức độ
Trước
1
[2]
3
4
5
6
7
8
9
10
Tiếp