Nhận xét chỉ số mô mềm trên phim sọ nghiêng ở nhóm bệnh nhân khớp cắn angle loại III độ tuổi từ 18 trở lên
Giải pháp điều trị bệnh Parkinson
Vì sao phụ nữ sống lâu hơn nam giới?
Bổ sung omega-3 bao nhiêu thì tốt cho sức khỏe?
Tại sao tập thể dục lúc đói có thể đốt cháy nhiều năng lượng hơn
Tiến hóa nhân tạo hướng đến việc tạo ra sự sống từ vật chất
Ngạt tắc mũi và vị trí khẩu cái – lưỡi ở bệnh nhân ngủ ngáy
Tóc bạc có thể làm tăng nguy cơ mắc bệnh tim
Ảnh hưởng của loại hóa chất ngâm và điều kiện nảy mầm đến sự hình thành GABA của giống lúa IR50404 ở qui mô xưởng thực nghiệm
Rượu vang trắng làm tăng nguy cơ ung thư da
Hai cậu học sinh đi xe đạp gom bã cà phê chế tạo gốm lọc nước sạch
Hệ thống lá nhân tạo tự sản xuất phân bón cho cây trồng
Nghiên cứu sự thay đổi nồng độ glucose máu trong ca lọc máu ở bệnh nhân chạy thận nhân tạo
Cấy ghép vi khuẩn đường ruột giúp kéo dài tuổi thọ của loài cá đến 41%
Nam giới có hàm lượng Vitamin D thấp có nguy cơ bị yếu cơ
Rối loạn chức năng tuyến giáp có thể làm tăng nguy cơ suy tim
Những mẫu vật tưởng như không bao giờ nhìn thấy phải "lộ diện" dưới loại kính này
Nguy cơ sức khỏe từ thuốc lá điện tử
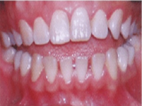
Răng giả gắn không khớp có thể gây ung thư miệng
Khủng long bạo chúa cọ mũi để tán tỉnh bạn tình
Hai nữ sinh lớp 9 chế tạo thành công kính phát hiện vật cản cho người khiếm thị
Mất ngủ có thể làm tăng nguy cơ đột quỵ và đau tim
Trước
1
[2]
3
4
5
6
7
8
9
10
Tiếp