Người trăng hoa dễ nhiễm viêm gan B
Tại sao không nên ăn rau sống và uống nước lạnh
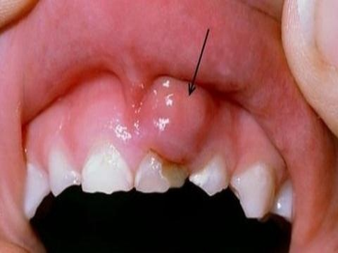
Cách phòng tránh ung thư miệng - điều ai cũng cần
Bị những bệnh này chỉ cần dùng lá ổi là khỏi ngay tức khắc
Thực phẩm giúp quý ông sung mãn nhất cho người yếu sinh lý
Nếu dừng uống rượu điều kỳ lạ gì sẽ xảy ra với cơ thế bạn?
Hương nhang - sát thủ giết người âm thầm mà ít người biết
Muốn sống khỏe, đừng ăn những thực phẩm quen thuộc này
Điều cần làm ngay nếu bạn bị ngộ độc thực phẩm
Điều trị dứt điểm u nang buồng trứng đơn giản tại nhà
Cách ngâm rượu tỏi đúng chuẩn để chữa bách bệnh
Tại sao nên tránh ăn thực phẩm dư thừa
Dấu hiệu cảnh báo bạn sắp bị cao huyết áp
Bất ngờ với công dụng 'tuyệt vời' của lá ổi
Gừng chữa táo bón: Năm lợi ích sức khỏe của gừng
Tuyệt đối không uống những thuốc sau khi đang đói
Ai không nên cạo gió?
Tại sao không nên ngồi vắt chéo chân
Sử dụng kem làm đẹp quá nhiều gây nổi mụn và làm tổn thương da
Vì sao sau khi ăn cam quýt, bạn nên giữ lại vỏ?
Mỗi ngày kiễng chân 3 phút điều kỳ lạ gì sẽ xảy ra với cơ thể?
Thói quen phá hủy thận của bạn mỗi ngày
Trước
1
[2]
3
4
5
6
7
8
9
10
Tiếp