Tiếp xúc với không khí độc hại có thể gây bệnh ung thư ở trẻ sơ sinh
Tương quan giữa một số dấu hiệu lâm sàng, xét nghiệm AFP và đặc điểm ung thư biểu mô tế bào gan trên cộng hưởng từ
Xác định yếu tố nguy cơ sâu răng ở học sinh một số trường tiểu học thuộc tỉnh Thừa Thiên-Huế
Kết quả điều trị thay thế nghiện các chất dạng thuốc phiện bằng thuốc Methadone và một số yếu tố liên quan tại huyện Kinh Môn - Hải Dương năm 2015
Hiệu quả can thiệp cải thiện sử dụng y học cổ truyền tại trạm y tế xã và hộ gia đình tại tỉnh Hà Tĩnh, Thừa Thiên Huế và Bình Định
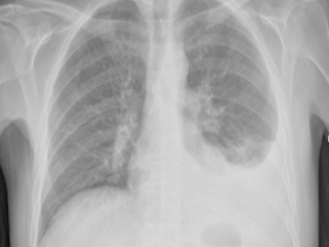
Giá trị nội soi màng phổi ống mềm trong chẩn đoán tràn dịch màng phổi ác tính
Thực trạng bệnh tăng huyết áp ở người cao tuổi tại tỉnh Sơn La năm 2014
Đặc điểm lâm sàng, cận lâm sàng của bệnh nhân Lupus ban đỏ hệ thống có tổn thương thận
Đặc điểm hình ảnh ung thư biểu mô tế bào gan trên cộng hưởng từ
Biến chứng sau ghép gan
Xu hướng giảm mắc và tử vong do lao ở Việt Nam và trên thế giới
Thực trạng kiến thức, thái độ, thực hành vệ sinh răng miệng ở sinh viên năm thứ 1 và năm thứ 3 trường Cao đẳng Y tế Hà Nội năm 2014
Nghiên cứu sự thay đổi một số chỉ số hóa sinh ở bệnh nhân suy thận mạn tính được ghép thận
Siêu âm đo khoảng cách từ da đến mỏm ngang - màng phổi và chiều dài thực tế kim Tuohy trong gây tê cạnh cột sống ngực
Đánh giá tác dụng của bài thuốc AT1 trong điều trị chứng mất ngủ không thực tổn (thể can chí uất kết)
Đặc điểm hình ảnh học Xquang cắt lớp điện toán u mô đệm đường tiêu hóa
Kiến thức của người dân về cách chăm sóc trẻ khi trẻ bị bệnh tiêu chảy cấp tại 3 tỉnh Hòa Bình, Hà Tĩnh, Kiên Giang năm 2014 và một số yếu tố liên quan
Thực trạng và dự báo diễn biến của một số bệnh truyền nhiễm tại vùng ven biển Bắc bộ trước ảnh hưởng của biến đổi khí hậu
Nghiên cứu hình ảnh siêu âm khớp gối và mối liên quan với biểu hiện lâm sàng ở bệnh nhân thoái hóa khớp gối
Công nghệ mới khiến cho thời gian trôi qua nhanh hơn
Kiến thức của bệnh nhân Đái tháo đường type 2 và một số yếu tố liên quan tại tỉnh Thái Bình
Một số yếu tố liên quan đến rối loạn cơ xương trên điều dưỡng viên Bệnh viện Việt - Tiệp Hải Phòng năm 2015
Trước
1
[2]
3
4
5
6
7
8
9
10
Tiếp