Đặc điểm lâm sàng, cận lâm sàng của bệnh nhân Lupus ban đỏ hệ thống có tổn thương thận
Đặc điểm hình ảnh ung thư biểu mô tế bào gan trên cộng hưởng từ
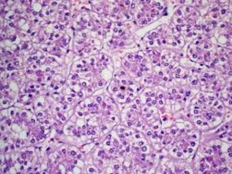
Biến chứng sau ghép gan
Xu hướng giảm mắc và tử vong do lao ở Việt Nam và trên thế giới
Thực trạng kiến thức, thái độ, thực hành vệ sinh răng miệng ở sinh viên năm thứ 1 và năm thứ 3 trường Cao đẳng Y tế Hà Nội năm 2014
Nghiên cứu sự thay đổi một số chỉ số hóa sinh ở bệnh nhân suy thận mạn tính được ghép thận
Siêu âm đo khoảng cách từ da đến mỏm ngang - màng phổi và chiều dài thực tế kim Tuohy trong gây tê cạnh cột sống ngực
Đánh giá tác dụng của bài thuốc AT1 trong điều trị chứng mất ngủ không thực tổn (thể can chí uất kết)
Đặc điểm hình ảnh học Xquang cắt lớp điện toán u mô đệm đường tiêu hóa
Kiến thức của người dân về cách chăm sóc trẻ khi trẻ bị bệnh tiêu chảy cấp tại 3 tỉnh Hòa Bình, Hà Tĩnh, Kiên Giang năm 2014 và một số yếu tố liên quan
Thực trạng và dự báo diễn biến của một số bệnh truyền nhiễm tại vùng ven biển Bắc bộ trước ảnh hưởng của biến đổi khí hậu
Nghiên cứu hình ảnh siêu âm khớp gối và mối liên quan với biểu hiện lâm sàng ở bệnh nhân thoái hóa khớp gối
Công nghệ mới khiến cho thời gian trôi qua nhanh hơn
Kiến thức của bệnh nhân Đái tháo đường type 2 và một số yếu tố liên quan tại tỉnh Thái Bình
Một số yếu tố liên quan đến rối loạn cơ xương trên điều dưỡng viên Bệnh viện Việt - Tiệp Hải Phòng năm 2015
Thực trạng suy dinh dưỡng thể thấp còi và một số yểu tố liên quan ở trẻ em dưới 5 tuổi tại 4 quận huyện, thành phố Hải Phòng năm 2013
Chất lượng cuộc sống bệnh nhân tai biến mạch máu não sau phục hổi chức năng tại Bệnh viện Đa khoa Thanh Hóa năm 2014
Phẫu thuật nội soi mũi xoang triệt để trong điều trị viêm mũi xoang mạn có polýp
Nghiên cứu giá trị của siêu âm đàn hồi mô trong chẩn đoán nhân tuyến giáp
Thực trạng thực hiện phân tuyển kỹ thuật ở một số bệnh viện tuyến huyện tỉnh Hòa Bình
Đánh giá tính phù hợp của bộ tiêu chí kiểm định chất lượng bệnh viện tại Bệnh viện Đa khoa TP. Vinh
Đánh giá chất lượng phôi sau rã đông và tỷ lệ có thai sau chuyển phôi ngày 2- ngày 3 đông lạnh theo phương pháp đông lạnh chậm
Trước
1
[2]
3
4
5
6
7
8
9
10
Tiếp