Tại sao trà lại tốt cho sức khỏe
Ung thư vú: Năm điều phụ nữ nên biết!
Tập thể dục thường xuyên sẽ thông minh hơn
Một loại thuốc mới hứa hẹn chữa bệnh cảm thông thường
Phụ nữ trẻ tuổi hút thuốc lá có nguy cơ mắc bệnh ung thư vú cao
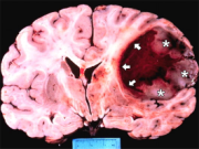
Hai loại protein gây ung thư não
Độc tố có trong hải sản gây tổn thương thận ở chuột
Người hút thuốc lá sợ dung nhan xấu
Năm chỉ số cần nhớ để duy trì trái tim khỏe mạnh
Ăn trước khi đi ngủ: Bốn cách để đốt cháy chất béo trong khi ngủ
Các vi hạt được tiêm vào máu giúp giảm thiểu tổn thương khi đau tim
Socola, rượu vang và hoa quả có thể chống lại ung thư
Thay đổi giờ ăn có thể có ảnh hưởng đến hàm lượng lipid ở gan
Sữa chua, phô mát có ít chất béo làm giảm nguy cơ mắc bệnh tiểu đường type 2
Trích ly enzyme bromelain từ phế phẩm khóm
Phát hiện protein gây ung thư não
Nghiên cứu tác dụng giảm lipid máu của chế phẩm Polyphenol chiết xuất từ lá chè Trung du
Đánh giá đa dạng di truyền cá Giò (Rachycentron canadum) bằng chỉ thị phân tử microsatellite
Đặc điểm gen mã hóa Mannan-Binding lectin serine protease 1 ở lợn
Nghiên cứu làm tăng hiệu quả biến nạp xung điện để tạo thư viện Metagenome của hệ vi sinh vật trong ruột mối
Nghiên cứu gây hoại tử xương bằng Glucocorticoid và thử nghiệm ghép tế bào đơn nhân tủy xương trên mô hình bệnh lý thực nghiệm
Phát hiện và định lượng đột biến A3243G trong hệ gen ty thể ở hội chứng MELAS
Trước
1
[2]
3
4
5
6
7
8
9
10
Tiếp